Laser Removal of Fibroma
- Patient Name: Clara
- Age: 42
- Dental Issue: Growing Fibroma / Papilloma on inside of lip
Laser Removal of Fibroma: Before and After


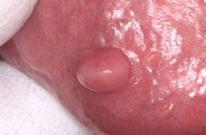
Problem: Growing Fibroma
When Clara first visited us, she was concerned about a lump that had formed on the inside of her lip, and had been growing for approximately one year. Her main concerns were:were:
- Having an abnormal growth in her mouth
- Constantly biting on this growth when eating and causing it to bleed
- That the lump had started to grow over time and was becoming increasingly uncomfortable
Solution: Laser Removal of Fibroma
- Step 1: To begin with, we undertook a thorough examination of Clara’s mouth and overall dental health. He quickly discovered that the lump in Clara’s mouth was a fibroma – a benign type of tumour. (For more information on what these are, take a look at the section below, ‘What Are Fibromas and Papillomas?’)
- Step 2: Once the issue had been identified, we removed the slowly growing fibroma using Waterlase. Laser Waterlase is a completely safe, very gentle alternative to many of the traditionally used dental tools that are available. The tool works by using a laser and a spray of water, rather than traditional use of a scalpel. With our focus on patient care and comfort, this is a tool commonly used at Care Dental Camberwell.
- Step 3: As with all types of growths, we sent a sample off for pathology analysis. While fibromas are usually benign, we always like to make sure we’ve triple-checked everything here at Care Dental Camberwell.
- Step 4: We scheduled a follow-up appointment for Clara two weeks after removing the lump. This follow-up allowed us to check that Clara’s mouth was healing well, that her overall dental health had not been affected, and to ensure that the growth was indeed benign. The photos taken 2 weeks later show no scarring and a totally healed lip.
- Step 5:The team at Care Dental Camberwell will continue to monitor for any further growth at Clara’s regular, ongoing six-monthly check-ups.
Something that had been worrying Clara for months, ended up being a problem that the expert team at Care Dental Camberwell in Camberwell could fix in just one appointment, with no pain and no needles required.
Cost of Laser Fibroma Removal
The cost of laser oral fibroma removal varies, but it is often more affordable than expected. The average cost of LANAP treatment in the US is around 3000 AUD, depending on the severity and number of areas treated. Traditional treatments involve invasive surgery and cannot regenerate bone. Laser treatment is less invasive and more effective. Consult an oral surgeon for a precise treatment plan and cost estimate.What Are Fibromas and Papillomas?
Put simply, fibroma and papilloma are two quite commonly found, benign tumours that only occur inside the mouth.
Fibroma are the most common, and are caused by quite simple actions, such as sucking or biting on any part of the mouth, including the check, lips or tongue. A fibroma usually looks a bit like a mushroom, but has quite a smooth, bright pink surface. A papilloma, on the other hand, will appear of its own accord (without any irritation needing to occur first), and are usually caused by some kind of virus, almost like a wart. They are similarly mushroom-shaped, but instead of being pink and smooth, they are usually white and have a bumpy, irregular surface.