Patient Experiences

Here at Care Dental Camberwell, we understand that when it comes to dental care (particularly cosmetic dentist treatments), the proof is in the pudding. Before you commence a dental treatment plan, you want to be completely sure that the end result is exactly what you imagined.

We believe that the best way we can demonstrate the effectiveness of our services is to show you our ‘Before and After’ case studies. All of our case studies are real, live patients were treated quite recently. All of these patients were so happy with the end result that they were only too happy to show off their new pearly whites.

dentist camberwell case studies

Our Camberwell Dental Surgery Case Studies

We are proud to say that our dentist in Camberwell offers a full compliment of services when it comes to dental care. We have been providing this comprehensive treatment for a number of years and have built up an impressive library of case studies. To read case studies from our patients, follow the links below: Camberwell Family Dental

Cosmetic Dentistry Makeover

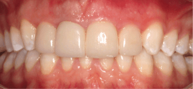
jane before cosmetic dentistry treatment
Before Cosmetic Dentistry
jane after cosmetic dentistry treatment
After Cosmetic Dentistry

Chipped Tooth Case Study

chipped tooth repair before
Chipped Tooth repair – Before
chipped tooth repaire after
Chipped Tooth Repair – After

Dental Implants Case Study

dental implants case study before
Dental Implants – Before
dental implants case study after
Dental Implants – After

Invisalign And Veneers Case Study

invisalign-veneers-before
Invisalign and Veneers – Before
invisalign-veneers-after
Invisalign and Veneers – After

Composite Veneers Case Study

Composite Veneers Before
Composite Veneers - Before
Composite Veneers After
Composite Veneers - After

MARYLAND BRIDGE CASE STUDY

maryland bridge before
Maryland Bridge: Before
maryland bridge after
Maryland Bridge: After

Why Choose Care Dental Camberwell in Camberwell?

There is a whole range of reasons to choose Care Dental Camberwell in Camberwell for all your dental care needs:

  • We are committed to providing exceptional levels of dental care and treatment plans that are tailored to suit your needs as well as your budget, to deliver a sparkling smile.
  • With years of in-depth experience as dental surgeons, Dr Anna provides advanced dental treatment for everything from simple fillings, right through to root canals and tooth implants.
  • All of our equipment is the most state-of-the-art technology. We have a full range of all the latest, most up-to-date microscopes, lasers, and even low dose digital x-rays
  • We don’t believe in ‘patch-up dentistry’. Instead, we evaluate your medical and dental history from an overarching perspective. We then put in place a treatment plan that is the most effective and affordable long-term.
  • We believe dental treatment should be delivered using a consultative approach. That’s why we plan and budget your entire plan before we start any kind of treatment. This ensures that you’re well aware of what is going to happen, as well as all costs involved, from the outset.